持续性植物状态(Persistent vegetative state.PVS)又称“植物生存”,也就是人们口中的“植物人”。造成PVS的原因大致有三类:①交通事故等急性损伤、脑血管意外(脑出血、脑梗死、蛛网膜下隙出血等);②阿兹海默症、多发性脑梗死等;③发育畸形等。
经过临床观察,PVS患者数月病况无好转,则清醒的机会便微乎其微,而且花费在每位患者身上的费用相当惊人,长期治疗会对患者家庭造成极大经济压力。
近日,山东大学齐鲁儿科医院的一份报道引起了医学界关注:
一位11岁的男孩因心脏手术引起严重左半球脑出血的持续植物状态,在综合康复治疗2个月后,无任何明显改善。在家属同意下,每日给予高浓度氢氧混合气体(66.6%氢气+33.3%氧气)吸入,患者意识逐渐恢复,多项功能得到显著恢复,健康状况也得到改善。
这篇文章发表在国际期刊《WJCC》上(World Journal of Clinical Cases,世界临床病例报告杂志)【1】。

论文发表在WJCC
患者情况
患者3岁时,因复杂的先天性心脏病引起房间隔缺损和室间隔缺损,接受修复。2018年10月,接受了主动脉瓣置换术,术后接受了近2年的华法林抗凝治疗。2020年,11岁的
小患者出现发热和腹痛2天,昏迷2小时,被送到儿科医院重症监护病房。
治疗过程
2020年5月27日,医生对小患者进行了紧急脑外科手术,以减轻颅内压,从而减少颅脑损伤。在神经导航的辅助下,在全身麻醉下建立左心室和血肿引流管。此外,还建立了由气管造口术、颅内压探针植入和机械通气组成的关键生命支持系统。
手术后大约6周(41天),患者仍处于完全卧床不起的植物状态(VS ),昏迷恢复量表只有3分。
患者的生命支持依赖于鼻氧管喂养,有正常的心跳和呼吸频率。
由于患者的VS(植物状态)状态在脑部手术后没有改善的迹象,他被诊断为PVS(持续植物状态),并开始了神经保护治疗。
神经保护治疗包括经鼻给予神经生长因子、巴氯芬和高压氧。功能性康复治疗包括综合性床边康复治疗,如抗惊厥治疗、活动范围维持、吞咽和进食训练。不幸的是,尽管这些治疗持续干预,他的室上性心动过速症状和严重程度没有改善。
患者使用氢氧吸入
早期,日本将氢气用于脑梗【2】、心梗【3】的急重症,提供了另一种治疗思路。
经过和家属详细讨论后,医生征得家属同意,开始每日给予患者高浓度氢氧混合吸入治疗(66.6%氢气+33.3%氧气,每天持续4~6小时)。令人惊异的是,在氢氧混合吸入后,患者的方向、意识、说话能力、面部表情和运动功能都得到了显著的恢复,基本的健康状况也有所改善。

小患者使用潓美氢氧气雾化机,每天进行高浓度氢氧混合吸入。

小患者治疗过程全瞰
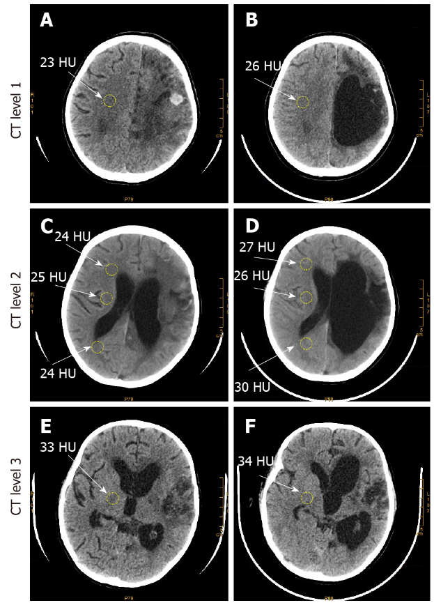
影像学检查

治疗前后CT结果
A、C、E:手术前在左半球观察到严重和大规模出血,包括覆盖左侧前额叶和顶叶区域以及大部分枕回的CT图像密度降低。和右侧相比,左侧脑室明显增大,并且由于血肿和脑水肿,中线脑结构也偏离了正常位置;
B、D、F:手术后,左半球因出血明显受损,左侧脑室明显增大,大脑严重萎缩。然而,在右半球观察到明显的脑软化,这通过与治疗前相似的脑群(黄圈)的CT数相比,多个脑区(黄圈)的CT数增加。
高浓度氢氧混合吸入后,左半球神经病理学稳定,右半球神经病理学减轻。
后续报道
出乎意料的是,患者接受高浓度氢氧混合吸入后,很快就出现好转迹象,如自发睁眼和偶尔屈伸下肢。治疗后的CT显示,半球CT值增加,可能与脑水肿减轻有关,对患者脑功能恢复至关重要。由于患者病情明显好转,停用鼻胃管,治疗后1个月由管饲改为口服液饮食。
治疗后2个月,患者的定位意识、视觉追踪、对伤害性刺激的定位也逐渐恢复。患者可以按照简单的指示,用勺子触碰嘴唇时张开嘴,咀嚼柔软的食物,并自动弯曲和伸直左下肢。此外,患者吸入高浓度氢氧的时间较长,病情逐渐好转。
治疗后90天,患者运动功能明显改善,能够按照指示进行重复性运动,自主抬起左腿。与吸入氢氧之前相比,他的面部表情能力有了很大的提高。他能简单地与他人交流,说单词和短语。吸入氢氧5个月后,患者意识恢复接近正常状态,CRS-R评分22分,语言能力改善。

昏迷恢复量表评分的改善及患者持续性植物状态恢复的进展示意图。
治疗后6-7个月,患者能够理解简单的指示,识别项目,读数字。他可以用手势提出请求,平稳地保持头部挺直,独立地将身体转向右侧,双手抬起到达头部,用手触摸眼睛和鼻子,用左下肢随意做动作。
这些临床观察表明,吸入氢氧可能对这名脑出血诱发的持续植物状态患者的意识恢复、肌肉张力和运动功能有有益作用。
持续植物状态患者接受氢氧混合吸入后恢复清醒,状态明显改善!
案例讨论
此研究具有重要开创性意义,这可能是全球第一个浓度氢氧混合气体用于持续性植物状态的案例报道!
这说明高浓度氢氧混合气体(66.6%氢气+33.3%氧气)在PVS(持续性植物状态)有很好的临床研究和应用前景。
事实上,本临床研究并非全无实验理论基础,近几年国内外有不少科学家关注高浓度氢氧混合吸入保护脑部的研究。(如下三个研究均使用潓美氢氧气雾化机作为高浓度氢氧提供设备)
2016年,脑缺血再灌注大鼠进行高浓度氢氧混合气体(66.6氢气+33.3%氧气)吸入,可以减轻脑部损伤,可以显著改善大鼠神经源形态和神经元凋亡【4】。
2019年,美国罗马琳达大学的研究表明:使用高浓度氢氧混合气体(66.6%氢气+33.3%氧气)可以改善蛛网膜下腔出血大鼠存活率和神经缺陷【5】。

该实验中,同样是蛛网膜下腔出血,吸入空气组大鼠出现死亡,吸入氢氧混合气体组没有死亡,此结果p<0.05,具有统计学意义。
2022年,哈尔滨第二医科大学的研究表明,高浓度氢氧混合气体(66.6氢气+33.3%氧气)吸入,可以减轻大鼠血栓后脑部损伤及神经损伤【6】。

假手术组(S组)、脑缺血-再灌注组(M组)和高浓度氢氧气治疗组(H组)
mNSS(Modified neurological severity score )为改良神经功能缺损评分,分值越高代表神经缺损越严重,Garcia评分为神经功能评分,分值越高,神经系统越完好。
综上可知,高浓度氢氧吸入对脑部的改善并非个例,高浓度氢氧混合吸入或者能为人类战胜PVS提供新的路径。潓美氢氧医学也将在此领域开展更多临床研究,期待更多PVS患者早日重获健康生活,让那些因病致贫的患者家庭得到拯救!
参考资料: 【1】 You-Zhen Wei et al,Hydrogen inhalation promotes recovery of a patient in persistent vegetative state from intracerebral hemorrhage: A case report and literature review,吸入氢气促进脑出血后持续植物状态患者的康复:一例病例报告和文献综述,,World Journal of Clinical Cases 2022 ;10(4):1311~1319. 【2】HirohisaOno et al,氢气吸入治疗急性脑梗死,Hydrogen Gas Inhalation Treatment in Acute Cerebral Infarction-ARandomized Con,The Journal of Stroke & Cerebrovascular Diseases 2017;26(11):2587-2594; 【3】Yoshinori Katsumata et al,The Effects of Hydrogen Gas Inhalation on Adverse Left Ventricular Remodeling After Percutaneous Coronary Intervention for ST-Elevated Myocardial Infarction ,吸入氢气对ST段抬高心肌梗死经皮冠状动脉介入治疗后不良左室重构的影响,circ J 2017 ;81(7):940-947; 【4】Chi et al,Inhalation of water electrolysis-derived hydrogen ameliorates cerebral ischemia-reperfusion injury in rats - A possible new hydrogen resource for clinical use,氢气的生物安全性研究及对大鼠脑缺血再灌注损伤的保护作用. Neuroscience 2016;9(3):74~79; 【5】Zhang et al,Hydrogen gas therapy improves survival rate and neurological deficits in subarachnoid hemorrhage rats: a pilot study,氢气疗法提高蛛网膜下腔出血大鼠的存活率和神经功能缺损:一项初步研究,Research article 2019;9(2),3:1~6; 【6】Wan-chao Yang et al,Molecular hydrogen alleviates lung injury after traumatic brain injury: Pyroptosis and apoptosis,分子氢减轻创伤性脑损伤后肺损伤:细胞焦亡和凋亡,ELSEVIER 2022 ;914(2022):1~9;