急性肺损伤(acute lung injury,ALI)是一种高发病率和高死亡率的严重疾病综合征,发病机制复杂,具有炎症反应、氧化应激、细胞凋亡和自噬增加的特征。
当前ALI的传统治疗方法效果有限,临床方面迫切需要开发新的、更加有效的治疗手段【1】。
脂多糖LPS
Lipopolysaccharide,缩写为“LPS”,是ALI的常见诱导剂。
LPS首先会激活巨噬细胞和炎症细胞,然后释放不受控制的炎症细胞因子。研究表明,LPS激活的Toll 样受体 4(Toll-like receptor 4,TLR4)可以通过激活NF-κB信号通路产生炎性细胞因子。这些细胞因子通过放大炎症反应在ALI发展中发挥重要作用【2】,因此,科学家认为如果能够靶向抑制TLR4和下游NF-κB信号通路,则可以打破该炎症级联反应,这可能是治疗ALI的有效策略。
.png)
因为,氢氧吸入具有抗氧化、抗炎症和抗凋亡等作用,同时氢分子和其他气态分子一样是一种信号转导的调节剂,被称作“第四信号气体分子”【3】。因此,氢氧吸入对抗急性肺损伤的前景得到医学界重视。
在此基础上,上海同济大学医学院附属东方医院转化医学研究中心、心律失常教育部重点实验室、中心ICU、重症监护医学部、呼吸内科联合进行一项名为:“氢氧减轻LPS诱导的急性肺损伤及炎性反应”的实验,研究氢氧混合吸入对抗急性肺损伤的有效性,并将实验成果发表成功发表在国际权威期刊:《Journal of Inflammation》上【4】。
.png)
论文截图
实验设计
实验通过LPS诱导ALI模型,将实验组分为三组,分别是氢氧组、LPS组、LPS+氢氧组,实验中氢氧生产为潓美氢氧气雾化机AMS-H-03型(产气浓度为:66.6%氢气+33.3%氧气,产气量为3000ml/min)。
.png)
潓美氢氧气雾化机
科学家分别测量3组血清中细胞因子、肺组织血清丙二醛(Malondialdehyde ,MDA)和一氧化氮NO水平以判断氧化应激水平,对3组进行肺部切片以观察吸氢氧对肺部的影响,检测肺组织中TLR4的表达情况、活性氧等情况,用以综合判断氢氧对于ALI的具体作用。
实验结果
经过72小时观察, 3组模型存活率呈现较大差异,氢氧组存活率为100%,LPS存活率为60%,LPS+氢氧组存活率为80%。
.png)
从上图可知,LPS诱导的ALI死亡率较高,仅剩60%存活率,而通过氢氧吸入,可以将存活率显著提升到80%,证明这一方法的应用价值。
科学家也检测了3组的NO水平和MDA水平,结果如下:
.png)
上文提到NO水平和MDA水平与氧化应激水平有关,上图可以看出,LPS组的NO水平和MDA水平都比较高,LPS+氢氧明显低于ALI组,证明了氢氧对LPS引发氧化应激的抑制作用。
同时,科学家也检测了3组血清中炎性因子水平,结果如下:
.png)
可以看出,LPS+氢氧组的炎性因子水平要低于LPS组,说明氢氧吸入抑制了该组的肺部炎症。
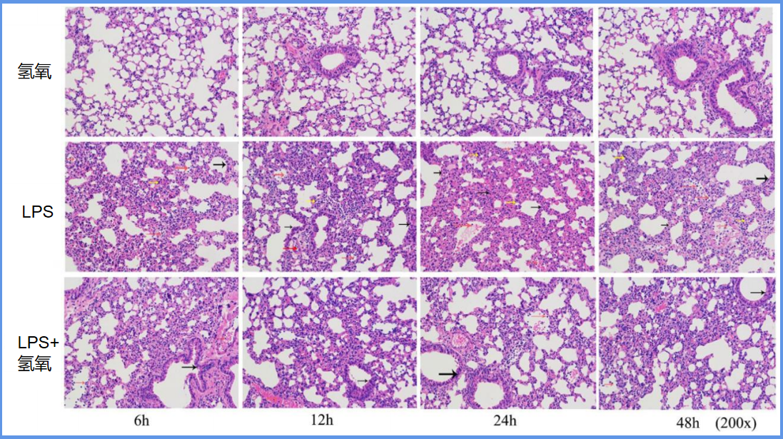
科学家对3组肺组织进行切片观察,并用不同颜色箭头进行标注:
黄色箭头表示肺泡塌陷;
黑色箭头表示肺泡间隔增厚;
红色箭头表示炎性细胞浸润明显。
结果如图:
.png)
上图可以非常直观地看出氢氧对于LPS诱导病变的改善,第二行的LPS组有大量表示病变的颜色箭头,第三行吸入氢氧组仅剩下很少一部分。
科学家通过免疫组织化学分析,研究氢氧对肺组织TLR4表达的影响,结果显示,氢氧吸入抑制了TLR4的表达。
.png)
在细胞因子层面,科学家采用定量实时测量PCR来检测TNF-α、IL-6、IL-1β和 IL-10 mRNA,结果如下:
.png)
有LPS刺激的LPS组与没有LPS刺激的PBS组对比,四种细胞因子含量显著增加,同时TNF-α、IL-6、IL-1βmRNA水平均被氢氧抑制。这些研究表明氢氧可以中和LPS促炎介质作用。
氢氧增加细胞活力
LPS组细胞增殖显著降低,NO含量显著增加,如下图中显微镜范围内,细胞密度说明了LPS组细胞数量最少,LPS+氢氧组显著增多。
.png)
氢氧降低细胞中ROS的产生
无LPS刺激的PBS细胞状态良好,LPS组细胞状态恶化,ROS升高,LPS+氢氧干预后,ROS显著降低,如下图:
.png)
氢氧降低引起的TLR4表达并抑制NF-κB活化
与对照组相比,LPS刺激后I-κB表达水平降低,而磷酸化I-κB、TLR4和NF-κB水平增加,通过氢氧吸入干预,则I-κB增加,磷酸化I-κB、TLR4和NF-κB降低。
.png)
氢氧对急性肺损伤ALI的作用
此前的研究已经证明氢氧吸入可以减轻由于呼吸机、抑制、高氧、照射、败血症等原因引起的肺损伤【5】。该实验的组织分析也显示,LPS会引起肺部的肺泡增厚、水肿、出血、肺泡空间减少、炎性浸润等情况,这些在LPS+氢氧吸入组中均未见到,说明氢氧确实改善了LPS诱导的肺中性粒细胞浸润和炎症。
通过LPS成功建立ALI(肺损伤)模型后,科学家观察到的现象是,不吸氢氧组的炎症增加、吸氢氧组的炎症减轻,揭示了氢氧吸入减轻了肺部炎症,保护了肺部病变的进一步发展,同时氢氧吸入也抑制了氧化应激的发生,所有这些实验结果与此前氢氧医学研究相吻合【6】
ALI 损伤的机制可能与细菌内毒素 (LPS) 激活有关,该激活促进 TLR4 的相互作用并导致 NF-κB 的激活和 TNF-α 和 IL-6 的释放。因此,抑制 NF-κB 活化可能是保护 ALI 的有效选择。
氢氧可以通过抑制“ IκB-α 的磷酸化直接激活 NF-κB 信号传导”【7】。此外,氢氧可以通过清除氧自由基来抑制 NF-κB 信号通路的激活【8】。
氢氧是一种具有快速气体扩散的强效抗氧化剂,可有效减少细胞毒性自由基,例如活性氧 (ROS),同时其温和性足以干扰代谢氧化还原反应或破坏细胞信号传导。
所以,对于手术急救中高发、高死亡率、且缺少有效治疗手段的急性肺损伤,氢氧是一种很好的选择!
参考资料:
【1】Dushianthan A, et al. Acute respiratory distress syndrome and acute lung injury. Postgrad Med J. 2011;87(1031):612–22.
【2】Grommes J, Soehnlein O. Contribution of neutrophils to acute lung injury. Mol Med. 2011;17(3–4):293–307.
【3】George JF, Agarwal A. Hydrogen: another gas with therapeutic potential.Kidney Int. 2010;77(2):85–7.
【4】Hongling Yin,Yajing Feng,Yi Duan,Shaolin Ma,Zhongliang Guo,Youzhen Wei1,Hydrogen gas alleviates lipopolysaccharide-induced acute lung injury and in"flammatory response in mice,Journal of Inflammation,(2022) 19:16
【5】Huang CS, et al. Hydrogen inhalation reduced epithelial apoptosis in ventilator-induced lung injury via a mechanism involving nuclear factor kappa B activation. Biochem Biophys Res Commun. 2011;408(2):253–8
【6】Sun R, et al. High concentration of hydrogen gas alleviates Lipopoly saccharide-induced lung injury via activating Nrf2 signaling pathway in mice. Int Immunopharmacol. 2021;101(Pt B): 108198.
【7】Song G, et al. H2 inhibits TNF-alpha-induced lectin-like oxidized LDL receptor-1 expression by inhibiting nuclear factor kappaB activation in endothelial cells. Biotechnol Lett. 2011;33(9):1715–22.
【8】Ohsawa I, et al. Hydrogen acts as a therapeutic antioxidant by selectively reducing cytotoxic oxygen radicals. Nat Med. 2007;13(6):688–94.